kanald.ro
Stiri
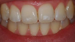
Atentie, ce inseamna petele albe de pe dinti?
Daca ai observat niste pete albe pe dinti, nu te gandi ca e o lipsa de vitamine. Trebuie sa mergi la dentist.

Acesta poate fi un simptom care te anunta ca vei avea o aparuta inca din copilarie. In special la copii apar aceste pete, ceea ce clar va duce la aparitia problemelor in foarte scurt timp.
Citeste continuarea pe Kfetele.ro.