WowNews logo WOWnews
Stories
burta ginecolog
burta ginecolog

Diverse

Avea dureri mari si a mers la ginecolog! Incredibil ce a gasit medicul in burta femeii

Avea dureri mari de burta si a mers la ginecolog. Ce a descoperit medicul in abdomenul ei.

burta ginecolog
burta ginecolog

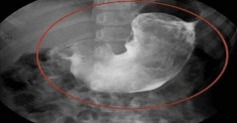
O femeie a ajuns la ginecolog cu dureri mari de burta. Michelle Barrow nu mai suporta durerile din zona abdomenului si si-a facut o programare la medicul ginecolog. Specialistul a crezut ca ar putea fi vorba de chisturi ovariene, dar in urma consultului a facut o descoperire care l-a socat: a gasit un ghemotoc de par!

Citeste si: Elena Merișoreanu a reacționat dur, după înmormântarea lui Horia Moculescu. Artista nu a mai tăcut și a spus ce a observat: “I-a ridicat pe mulți.” - kfetele.ro

Avea dureri mari de burta si a mers la ginecolog. Ce a descoperit medicul in abdomenul ei: un ghemotoc de par

Pacienta a inteles imediat ce se intamplase. A recuscut fire din parul uneia dintre cele doua pisici ale familiei. Michelle Barrow a aflat cum a ajuns ghemotocul de blana in abdomenul ei. Dupa o discutie cu ginecologul, a inteles ca parul pisicii care obisnuia sa doarma in acelasi pat cu ea si partenerul ei a ajuns pe organul sexual al iubitului, apoi in vaginul ei, dupa care a migrat in interiorul abdomenului.

Citeste si: Actrița Eugenia Șerban, diagnosticată cu cancer, a apărut fără perucă, în direct

Citeste si: Maria Andria, cântăreața diagnosticată cu cancer, a fost operată de urgență! Primele declarații de pe patul de spital: „Nu am voie să vorbesc..”

Citeste si: Un fals medic ginecolog „consulta” femeile prin camera de la telefon, apoi le șantaja

Medicul a sfatuit-o sa fie mai atenta cu igiena intima. Specialistul i-a recomandat sa nu mai lase pisicile sa doarma pe asternuturi, sa schimbe cearsafurile mai des si sa faca dus inainte de momentele intime, atat ea, cat si partenerul de viata.