kanald.ro
Foarte tare! Cum sa-ti albesti dintii intr-o singura ora!
Stiri
Foarte tare! Cum sa-ti albesti dintii intr-o singura ora!
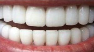
Exista zeci de produse pe piata care iti promit ca iti albesc dintii, insa procedurile de albire fac doar ca dintii sa fie din ce in ce mai sensibili. Din fericire, ai la indemana o alternativa ieftina si naturala. Bicarbonatul de sodiu indeparteaza petele de pe suprafata dintilor si le reda stralucirea rapid.
De ce ai nevoie vezi AICI.
Lia CEDEAZĂ! Filip a călcat din nou strâmb ÎN AFARA EMISIUNII! Concurenta a primit dovezi: „Tu faci mișto de mine?”
Vedete
Actualitate
Sport
Divertisment
Utile