WowNews logo WOWnews
Stories
Prima imagine cu băiețelul Vlăduței Lupău! Ce s-a văzut, atunci când artista a postat fotografia
Vlăduța Lupău

Vedete

Prima imagine cu băiețelul Vlăduței Lupău! Ce s-a observat atunci când artista a postat fotografia: "Și-a ales singur numele"

Vlăduța Lupău este în culmea fericirii, căci aceasta va aduce pe lume primul copil în doar câteva luni.

Mult a fost, puțin a mai rămas până când Vlăduța Lupău va deveni mamă pentru prima dată. Artista a mers la medic recent, pentru un control de rutină, iar imediat după ce a ieșit din cabinetul specialistului, artista le-a făcut o surpriză de proporții fanilor din mediul online.

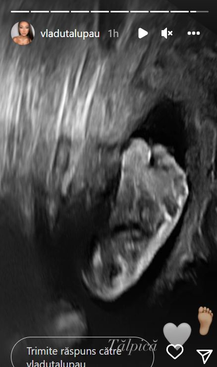
Mai precis, pe Instagram, acolo unde vedeta păstrează mereu legătura cu admiratorii săi și îi ține la curent pe aceștia cu tot ceea ce se întâmplă în viața sa, cântăreața a postat ecografia fiului ei. Iată ce au putut vedea internauții în imagine!

Citeste si: Postările emoționante pe care Igor Cuciuc le-a făcut în cursul zilei de ieri! Ce a uimit cu adevărat la un comentariu lăsat de mama Andreei Cuciuc, Diana? "Dumnezeu e mare!" - kfetele.ro

Vlăduța Lupău a postat ecografia fiului ei

Cunoscuta artistă este în al nouălea cer, asta pentru că în curând va aduce pe lume primul ei copil, un băiețel. Imediat ce a putut împărtăși fericita veste cu fanii din mediul online, cântăreața le-a spus de îndată internauților că va avea un copilaș, iar recent, aceasta le-a făcut o altă surpriză de proporții urmăritorilor de pe Instagram.

Citeste si: Vlăduța Lupău, probleme în sarcină din cauza unui medic: ”O experiență super nașpa”. Cu ce s-a confruntat artista: ”Am luat-o razna, eram panicată”

Vedeta a postat pe InstaStory ecografia bebelușului ei, iar în aceasta se putea observa o ”tălpică”, după cum a precizat artista în descrierea imaginii.

Prima imagine cu băiețelul Vlăduței Lupău! Ce s-a văzut, atunci când artista a postat fotografia

Ecografia fiului Vlăduței Lupău

[Sursa foto: Instagram]

Cântăreața a oferit câteva detalii despre numele bebelușului

În urmă cu ceva timp, Vlăduța Lupău a oferit o serie de declarații despre numele fiului ei, dat fiind faptul că toți fanii sunt curioși să afle cum se va numi băiețelul cântăreței.

Citeste si: „Două sarcini pierdute” Vlăduța Lupău, dezvăluiri dureroase despre boala cu care s-a confruntat! A vorbit pentru prima dată despre asta

Ei bine, însă, fără a da prea multe detalii, artista a dezvăluit că atât ea, cât și partenerul său de viață s-au gândit la un nume încă din prima zi, mărturisind că băiețelul și-a ales singur numele. Mai mult decât atât, Vlăduța a mai promis că le va spune fanilor ei povestea legată de numele micuțului, după ce acesta va veni pe lume.

„Ne-am gândit la un nume încă din primele zile! Și-a ales singur numele… O să vă spun povestea numelui când vine pe lume”, a explicat Vlăduța Lupău pentru Viva.ro . 

Prima imagine cu băiețelul Vlăduței Lupău! Ce s-a văzut, atunci când artista a postat fotografia

Vlăduța Lupău

[Sursa foto: Instagram]