WowNews logo WOWnews
Stories
novalue

Vedete

"Superman de la Sibiu" a ajuns la cutit! Musculosul care salveaza oameni si ii ajuta la necaz intra azi pe masa de operatii!

Un necaz nu vine niciodata singur, spune o vorba veche din batrani. De cateva sapatamani, Cornel Spiridon, alias “Superman de la Sibiu”, traieste un calvar si abia mai tine piept avalansei de probleme care s-au abatut in ultima vreme asupra familiei sale.

Cea care a dat „tonul” problemelor a fost mama sibianului, cu seria investigatilor sale amanuntite si internarea ei in spital. In urma cu o saptamana, a urmat fiica lui „Superman de la Sibiu”, micuta contactand virusul enterocolitei, care face zeci de victime mai ales printre cei mici. Din pacate, si sibianul va fi supus astazi unei interventii chirurgicale la un brat.

novalue
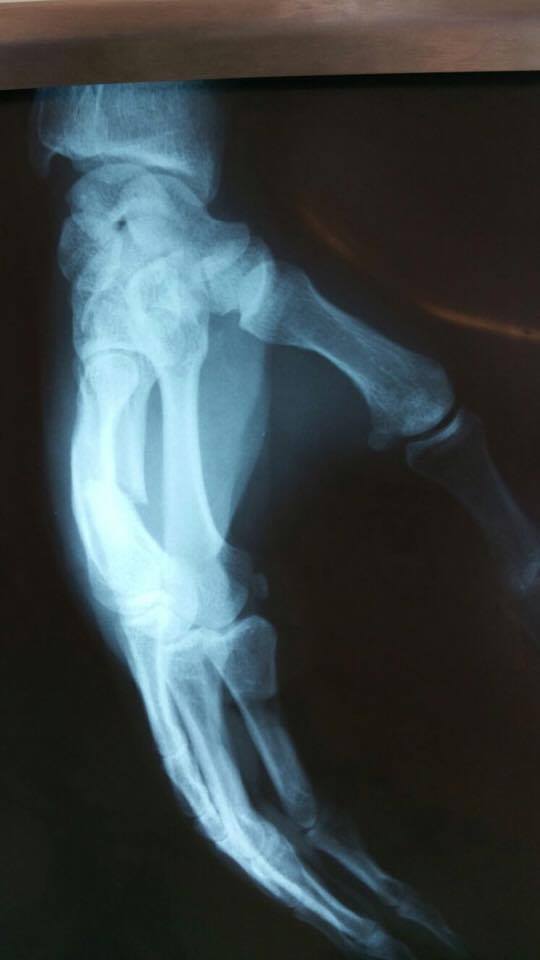
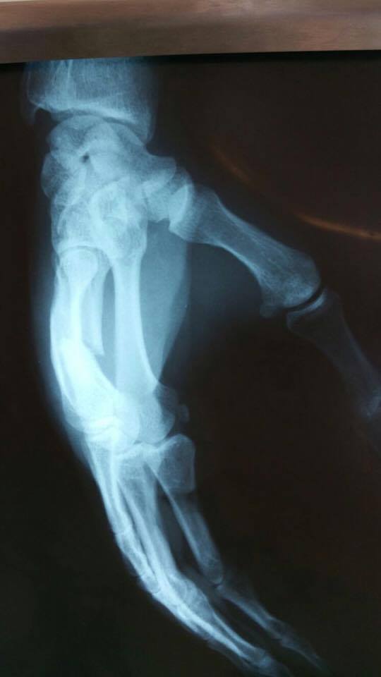
Recent, el a fost implicat intr-o altercatie urata la locul de munca, in urma careia s-a ales cu un o mana rupta si un ghips de toata frumusetea, iar azi va ajunge pe masa de operatii.
Medicii au decis sa ii monteze o tija in mana lui Superman de la Sibiu
„Chirurgii ortopezi au decis sa ma opereze ca sa imi puna oasele de la mana la loc. Am purtat ghips degeaba atata timp. E nevoie de operatie si montarea unei tije si totul e mai grav decat parea la inceput. Sper sa trec cu bine de operatie si refacerea mea sa aiba loc rapid. Trebuie sa muncesc. Am un copil de crescut, sunt tata singur si nu-mi permit sa ma imbolnavesc sau sa fiu accidentat”
, a declarat Cornel Spiridon pentru WOWbiz.ro.
novalue

Cornel Spiridon a devenit cunoscut si s-a ales cu porecla de „Superman de la Sibiu” pentru ca in ziua in care a fost martor si a acordat primul ajutor intr-un accident auto purta un tricou cu insemnul lui Superman.

Citeste si: Mesajul de susținere venit din partea Adrianei Ochișanu, pentru fiul său, Cristian Botgros! Cum îl apără artista, în fața acuzațiilor venite din partea familiei Cuciuc? "Sunt alături de tine cu toată