kanald.ro
WOW
TOPUL celor mai pacatoase ecografii! Medicii au ramas fara grai cand au vazut ce si-au putut indesa oamenii astia in ei! Radiografia cu borcanul e cea mai tare
Pe langa tratarea bolilor si salvarea de vieti, medicii se confrunta si cu situatii bizare, in care oamenii se prezinta in fata lor cu situatii ceva mai rusinoase.
Multe din aceste situatii au legatura cu activitati de ordin sexual, iar de cele mai multe ori medicii sunt nevoiti sa intervina pe cale chirurgicala pentru rezolvarea problemei.
Atunci cand vine vorba de astfel de situatii, zona anusului e cea mai vizata. Atat femeile, cat si barbatii, au incercat sa foloseasca pe post de jucarii sexuale obiecte din casa, gradina sau bucatatarie. 

Un barbat s-a prezentat cu un bec in anus, iar potrivit spuselor medicilor, becul s-a spart in momentul in care a fost extras.
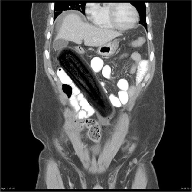
Un alt caz uluitor a avut loc in 1979 si i-a socat pe medici in momentul in care le-a spus ca a stat timpde 6 luni cu un vibrator in zona rectala.

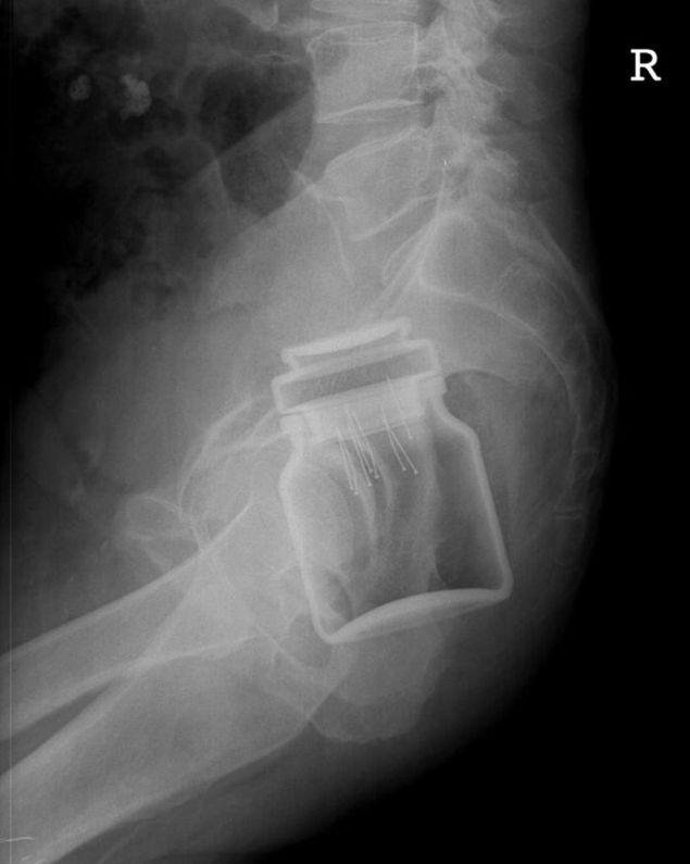
Nu mica le-a fost surpriza cadrelor medicale atunci cand un alt barbat a ajuns la Urgente cu un borcan de cafea in zona rectala. Inainte sa experimenteze cu borcanul, individul, din motive nestiute, a infipt cateva cuie in capacul borcanului.

Lista rusinoasa a radiografiilor inedite este completata de imagini cu o vanata, o jucarie de plastic, un deodorant sau chiar un telefon mobil! Toate aflate "captive" in aceeasi zona a corpului.