
kanald.ro
Actualitate
O femeie din Iași a avut parte de clipe groaznice din cauza unei erori medicale!
O femeie din Iași a trecut preț de ani buni clipe teribile din cauza unei erori medicale. Moldoveanca a trăit timp de 30 de ani cu un ac în abdomen, până în urmă cu șase ani, când a început să se simtă din ce în ce mai rău, din senin.
Citeste si: Alexia Eram, deși încearcă, nu poate scăpa de ele! Iată cu ce problemă se confruntă iubita lui Mario Fresh
Citeste si: Doliu în familia Denisei Răducu! Fratele vitreg al regretatei cântărețe a murit- kanald.ro
Chinul femeii a început în anul 1990, atunci când a fost operată din cauza unei sarcini extrauterine cu peritonite. În timpulintervenției chirurgicale, dr. Doina Ianca, de la Maternitatea „Elena Doamna”, i-a extirpat o trompă și un ovar, dar a uitat un ac în abdomenul pacientei. Femeia a început să se simtă rău, din senin, după mai mulți ani.
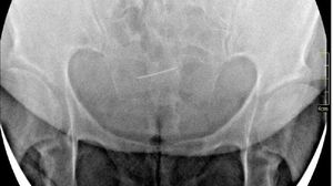
Femeia a fost dusă la spitalul Sf. Spiridon, acolo unde cadrele medicale care au îngrijit-o au descoperit „un ac medical care a migrat între oasele bazinului”.
„ Acum fac multe legături: de ce nu pot ridica, de exemplu la cumpărături sacoşa mai grea, de ce mă doare în zona lombară, de ce obosesc foarte repede şi mă aşez cu greu jos, de ce îmi amorţeşte destul de des mijlocul şi toată zona lombară şi pelviană. Oboseala ar putea fi de la Hepatita B sau diabetul de care sufăr, dar amorţelile, durerile lombară şi pelviană de unde? Şi toate aceste dureri de ani buni“, a mărturisit femeia.
Femeia a aflat adevărul crunt, care a făcut-o să sufere ani la râns. Astfel, s-a hotărât să ia decizii și a încercat să depună plângere împotriva medicului care a operat-o inițial.
„ Acest corp străin metalic, prezent, conform radiografiei, nu are legătură cu intervenţia chirurgicală şi putea fi înghiţit accidental de persoana în cauză“, a fost răspunsul medicilor. Tot aceștia spun că nu există „indicii rezonabile“ care să ducă la concluzia că acel ac are legătură cu operația respectivă.
Femeia din Iași a mărturisit că nu vrea ca alte persoane să treacă prin aceeaşi suferinţă „ Aş vrea să primesc măcar un sfat, ce să fac, ce să fac cu acest ac, dacă să îl scot sau nu. Mi-aş dori ca nimeni să nu păţească la fel ca mine, iar cine este resposnabil să vadă ce înseamnă să greşeşti“, a spus femeia pentru ZiaruldeIași.
sursa- Ziarul de Iasi